のどの違和感が続く…原因は甲状腺炎だった|耳鼻科や胃カメラで異常なしでも要注意
「のどの奥がつまるような感じ」「飲み込みづらさ」「常に圧迫されるような違和感」──
こうした症状は、耳鼻科や胃カメラを受けても「異常なし」と言われることがあります。
しかし、のどのすぐ前には甲状腺という臓器があり、そこに炎症が起きると似たような違和感が出ることがあります。
今回は、耳鼻科・胃カメラで異常がなく、当院の甲状腺エコーで亜急性甲状腺炎と診断された実際の症例をご紹介します。
▶巣鴨駅前胃腸内科ではWEB予約・電話予約を受け付けております。同様の症状でお困りの方は是非ご相談ください。
実際の治療例|30代女性「のどの圧迫感・引っかかる感じがとれない」
【症状】
3か月前から「のどの奥に常に何かがあるような圧迫感」を感じていた女性。
特につばを飲み込むときに引っかかる感じがあり、特に首の前側を触ると軽い違和感がある状態でした。
最初は一時的でしたが最近は常に感じるとのことでした。
【診察】
耳鼻科では咽頭・喉頭に異常なし。
その後、他院で胃カメラを受けましたが、食道や胃にも問題はありませんでした。
しかし症状は続いたため、「何かほかに原因があるのでは」とのことで当院を受診されました。
のどの違和感は耳鼻科系の疾患や食道疾患以外にも甲状腺疾患でも起こるため、甲状腺エコーを行いました。
【検査・治療】
甲状腺エコーでは甲状腺の肥厚を認め、甲状腺の炎症を疑う状態でした。
症状の原因と考え、専門病院へ紹介。
同院で詳しい検査の結果、亜急性甲状腺炎と診断されました。
投薬治療となり、炎症の改善とともに症状も消失したとのことでした。
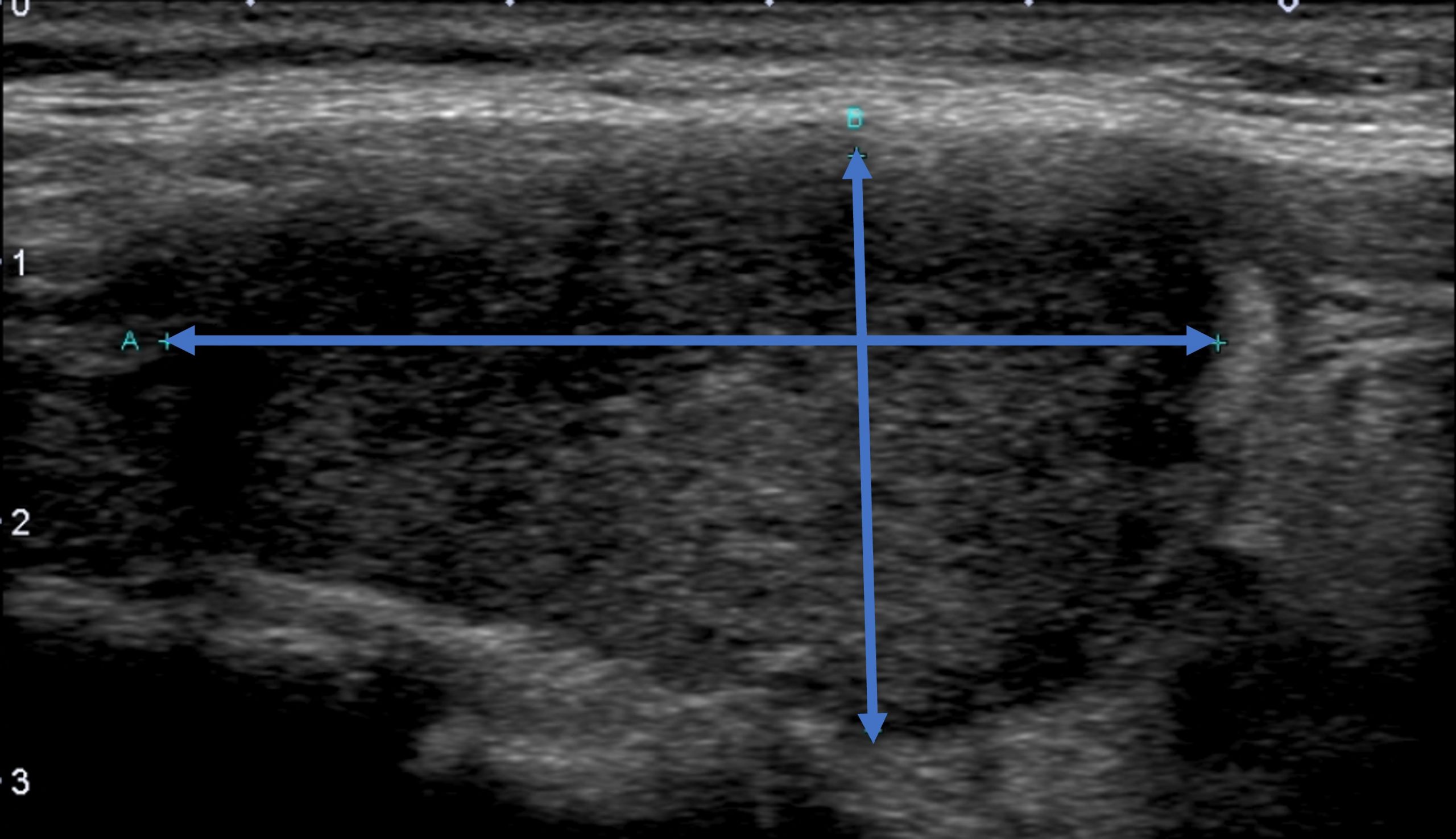
■実際の甲状腺エコーの画像■
甲状腺炎が炎症により著明に腫大・肥厚しています。
【亜急性甲状腺炎とは】
亜急性甲状腺炎とは、ウイルス感染の後などに甲状腺に一時的な炎症が起こる病気です【1】。
甲状腺内のホルモンが一気に血中に漏れ出すため、甲状腺ホルモンが一時的に増加(甲状腺中毒症)します。
主な症状には以下があります。
-
のどの違和感・圧迫感
-
首の前側の痛みや腫れ
-
発熱・倦怠感
-
動悸や手の震え(ホルモン過剰による)
炎症が落ち着くと今度は甲状腺ホルモンが減る時期(甲状腺機能低下期)を経て、数か月で自然に回復することが多いのが特徴です【2】。
院長からのコメント
のどの違和感や圧迫感は、耳鼻科や胃カメラでも異常が見つからないことが多く、「気のせい」と思われがちです。
しかし、首の奥には甲状腺やリンパ節など、のど以外の原因も潜んでいます。
原因を的確に見極めるためには、甲状腺を含めた頸部エコー検査が有効です。
症状が長く続く方は、ぜひ一度ご相談ください。
📞 お電話でのご予約:03-5940-3833
よくある質問(FAQ)
Q1. のどの違和感はストレスでも起こりますか?
A1. はい。ストレスや自律神経の乱れによって、咽喉頭異常感症と呼ばれる状態になることがあります【3】。ただし、長引く場合は器質的疾患の除外が必要です。
Q2. 亜急性甲状腺炎はどのくらいで治りますか?
A2. 多くは2〜3か月で自然に治ります。ただし再発することもあるため、定期的なフォローが大切です【2】。
Q3. 甲状腺エコーは痛みがありますか?
A3. ありません。首にゼリーを塗ってプローブを当てるだけで、数分で終わります。
Q4. 当院でも甲状腺エコーは受けられますか?
A4. はい。胃カメラ・大腸カメラと同日に頸部エコーの実施も可能です。お気軽にご相談ください。
Q5. のどの違和感があるときは何科を受診すべき?
A5. まず耳鼻科で異常がなければ、消化器内科や甲状腺の診察ができるクリニックを受診するのがおすすめです。
まとめ
-
のどの違和感が続く場合、甲状腺疾患が隠れていることもある
-
耳鼻科や胃カメラで異常がないときは首のエコー検査が重要
-
亜急性甲状腺炎は適切な診断と経過観察で治癒が見込める
巣鴨駅前胃腸内科ではWEB予約・電話予約を受け付けております。同様の症状でお困りの方は是非ご相談ください。
📞 お電話でのご予約:03-5940-3833
関連ページ
医師紹介
神谷雄介(かみや ゆうすけ)院長
📍経歴
国立佐賀大学医学部卒業後、消化器内科・内視鏡内科の道を歩み始め、
消化器・胃腸疾患の患者さんが数多く集まる戸畑共立病院・板橋中央総合病院・平塚胃腸病院にて研鑽を積む。
胃もたれや便通異常といった一般的な症状から、炎症性腸疾患や消化器がん治療まで幅広く診療を行いながら、
内視鏡専門医として年間3000件弱の内視鏡検査、および早期がんの高度な内視鏡治療まで数千件の内視鏡治療を施行。
2016年4月に巣鴨駅前胃腸内科クリニックを開業。
内視鏡検査だけでなく、胃痛・腹痛・胸やけや下痢などの胃腸症状専門外来や、がんの予防・早期発見に力を入れている。
- 日本内科学会認定医
- 日本消化器病学会専門医
- 日本消化器内視鏡学会専門医
🩺 診療にあたっての想い
胃や大腸の病気は、早期発見・早期治療がとても重要です。
「気になるけれど、どこに相談したらよいかわからない」「検査は怖いし、つらそうで不安」
そんな方にも安心して診察や検査を頂けるうような診療を心がけております。お気軽にご相談ください。
アクセス
所在地
〒170-0002
東京都豊島区巣鴨1丁目18-11 十一屋ビル4階
交通
巣鴨駅から徒歩2分、ローソン(1F)の4階巣鴨駅前胃腸内科クリニック
JR巣鴨駅 南口より徒歩3分。詳しい道順はこちら
▶📞お電話での予約・お問い合わせ:03-5940-3833
▶【WEB予約】
参考文献
-
Ito Y, et al. Diagnosis and surgical management of thyroid nodules. Endocr J. 2021.
-
American Thyroid Association Guidelines, 2016.
-
Koufman JA, et al. Laryngopharyngeal reflux: Diagnosis and management. Otolaryngol Head Neck Surg. 2002.
-
World Health Organization. Thyroid cancer: Risk factors and epidemiology. 2020.
文責:巣鴨駅前胃腸内科クリニック院長 神谷雄介
(消化器学会・内視鏡学会専門医)
お電話でのご相談・ご予約は03-5940-3833
