【実際の治療例】白い便が続いたら要注意!|原因・検査・治療を専門医が解説
「便の色がいつもより白っぽい」と感じたことはありませんか?
白い便は、単なる食事の影響だけでなく、肝臓や胆のう、膵臓(すいぞう)などの病気が隠れていることがあります。
今回ご紹介するのは、白っぽい便が続いたことをきっかけに当院を受診し、慢性膵炎が見つかった実際の症例です。
▶巣鴨駅前胃腸内科ではWEB予約・電話予約を受け付けております。便の異常が気になる方は是非ご相談ください。
症例|50代男性「白っぽい便が続いている」
【症状】
数週間前から便の色が白っぽく、油が浮くような感じがあるとのことで来院されました。
食欲はあるものの、食後にお腹の張りや背中の重だるさを感じるとのことでした。
【診察】
診察で腹部の圧痛は軽度。原因として以下を想定しました。
-
胆管結石、胆道癌などの胆道閉塞性疾患
-
膵頭部癌・慢性膵炎
-
肝炎・薬剤性肝障害
-
吸収不良症候群
- 感染性小腸炎
【検査】
原因を特定するため血液検査と腹部エコー検査を行いました。
-
血液検査:肝胆道系酵素は正常で、炎症反応は認めませんでしたが、アミラーゼ・リパーゼといった膵臓の酵素の軽度上昇を認めました。
-
腹部エコー:膵管の不整な拡張と膵石を確認。
以上から慢性膵炎と診断しました。
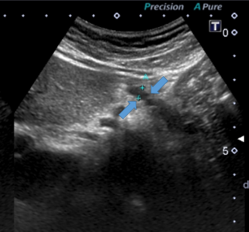
■実際のエコー画像①■
矢印に挟まれた黒い部分が膵管です。通常の3倍以上に拡張している状態でした。
■実際のエコー画像②■
膵臓に18㎜大の巨大な膵石(赤点線部)を認めました。慢性膵炎を考える所見です。
【慢性膵炎とは?】
もともと膵臓は食べ物を消化する酵素や血糖を調整するホルモン(インスリンなど)を分泌する臓器で、
炎症が長期間続くと膵管が拡張し、石灰化を起こして機能が低下します。この状態が「慢性膵炎」です。
膵液が腸に流れにくくなることで脂肪の消化がうまくいかず、脂肪便(白くて油っぽい便)が出るようになります。
症状は?
初期には膵臓の酵素がうまく分泌されず、
-
油っぽい食事でお腹が張る
-
便が白く脂っぽい(脂肪便)
-
食後に背中が痛む
といった症状が出ることがあります。
進行すると、膵臓の消化機能だけでなくインスリンの分泌も低下し、糖尿病を合併することもあります。
主な原因
-
アルコールの多飲(最も多い原因)
-
胆石や膵管の狭窄
-
脂質異常症
-
遺伝性・自己免疫性膵炎
放置すると…
膵臓の機能が戻らなくなり、慢性的な消化不良や糖代謝異常が続きます。
また、長期に炎症が続くと膵がんのリスクも上昇するため、定期的な検査が大切です。
【治療・経過】
今回の患者さんは長年の飲酒があり、アルコール性の慢性膵炎と考えられました。
治療は禁酒と脂肪制限を基本とし、膵酵素補充薬を処方しました。
服薬と生活習慣の見直しにより、便の色が正常化し、背部の違和感も改善。その後も定期的に膵臓の状態をモニタリングしています。
院長コメント
白い便は「胆汁や膵液が腸に届いていないサイン」です。
放置すると膵炎や膵がんなど、より重い病気の兆候を見逃してしまうこともあります。
便の色がいつもと違う、油が浮く、においが強いといった症状がある場合は、早めに受診しましょう。
当院では腹部エコーや血液検査で即日診断が可能です。
巣鴨駅前胃腸内科ではWEB予約・電話予約を受け付けております。白色便でお悩みの方は是非ご相談ください。
📞 お電話でのご予約:03-5940-3833
よくある質問(FAQ)
Q1. 白い便はどのくらい続いたら受診すべき?
A1. 1日程度で改善する場合は問題ないこともありますが、2日以上続く場合は消化管や胆道の異常を疑いましょう。
Q2. 白い便は脂肪の取りすぎでも起こりますか?
A2. はい。脂肪の多い食事やアルコールで膵臓の働きが低下すると、一時的に白っぽくなることがあります。
Q3. 慢性膵炎の原因は?
A3. 最も多いのは飲酒です。その他、胆石、脂質異常症、自己免疫性膵炎なども原因になります。
Q4. 慢性膵炎は治りますか?
A4. 完全に元通りにはなりませんが、禁酒・食事療法・薬物治療で進行を止めることが可能です。
Q5. 原因はどんな検査でわかりますか?
A5. 血液検査で膵酵素を確認し、腹部エコーやCTで膵臓の形態を評価します。
Q6. 便が白いだけで膵臓の病気と決まりますか?
A6. いいえ。肝臓や胆のうの病気でも白い便が出るため、必ず医療機関で検査が必要です。
まとめ
白い便が続くときは、
-
胆道や膵臓のトラブルがある可能性
-
早期に検査すれば進行を防げる
白い便や脂っぽい便、背中の痛みなどがある場合は、我慢せず早めの受診をおすすめします。
お電話でのご相談・ご予約は03-5940-3833
関連ページ
- エコー検査|実際の流れや検査で分かる病気の詳細がご確認いただけます
医師紹介
神谷雄介(かみや ゆうすけ)院長
📍経歴
国立佐賀大学医学部卒業後、消化器内科・内視鏡内科の道を歩み始め、
消化器・胃腸疾患の患者さんが数多く集まる戸畑共立病院・板橋中央総合病院・平塚胃腸病院にて研鑽を積む。
胃もたれや便通異常といった一般的な症状から、炎症性腸疾患や消化器がん治療まで幅広く診療を行いながら、
内視鏡専門医として年間3000件弱の内視鏡検査、および早期がんの高度な内視鏡治療まで数千件の内視鏡治療を施行。
2016年4月に巣鴨駅前胃腸内科クリニックを開業。
内視鏡検査だけでなく、胃痛・腹痛・胸やけや下痢などの胃腸症状専門外来や、がんの予防・早期発見に力を入れている。
- 日本内科学会認定医
- 日本消化器病学会専門医
- 日本消化器内視鏡学会専門医
🩺 診療にあたっての想い
胃や大腸の病気は、早期発見・早期治療がとても重要です。
「気になるけれど、どこに相談したらよいかわからない」「検査は怖いし、つらそうで不安」
そんな方にも安心して診察や検査を頂けるうような診療を心がけております。お気軽にご相談ください。
アクセス
所在地
〒170-0002
東京都豊島区巣鴨1丁目18-11 十一屋ビル4階
交通
巣鴨駅から徒歩2分、ローソン(1F)の4階巣鴨駅前胃腸内科クリニック
JR巣鴨駅 南口より徒歩3分。詳しい道順はこちら
▶📞お電話での予約・お問い合わせ:03-5940-3833
▶【WEB予約】
参考文献
-
日本膵臓学会 慢性膵炎診療ガイドライン2021
-
厚生労働省 e-ヘルスネット「慢性膵炎」
-
国立がん研究センター「膵がんの症状と診断」
文責:巣鴨駅前胃腸内科クリニック院長 神谷雄介
(消化器学会・内視鏡学会専門医)
お電話でのご相談・ご予約は03-5940-3833
